
Глава Института лечения суставов: «Вы будете поражены, насколько просто можно вылечить суставы принимая каждый день.
Лечение артроза коленного сустава желатином — известный способ нетрадиционной медицины. Но желатин — не лекарство, он может быть только дополнением к методам традиционной медицины, плюс правильное питание, оздоровительная гимнастика.
Для лечения суставов наши читатели успешно используют Артрейд. Видя, такую популярность этого средства мы решили предложить его и вашему вниманию.
Подробнее здесь…
Артроз — это разрушение хрящевой ткани. Она истончается, расслаивается, в ней появляются трещины, в результате кость, находящаяся под хрящом обнажается, на ней появляются уплотнения, которые со временем разрастаются, превращаясь в шипы. Происходит деформация сустава. Человеку, страдающему артрозом коленного сустава, каждый шаг доставляет боль.
Лечение направлено на то, чтобы снять воспаление в коленном суставе. Для этого в сустав делают инъекции гидрокортизона, дипроспана, флостерона и других противовоспалительных средств.
Для замены суставной жидкости вводят гиалуроновую кислоту, которая замедляет развитие артроза. Чтобы не допустить разрушения хряща назначают хондропротекторы, которые улучшают обменные процессы в коленном суставе и замедляют разрушение тканей сустава. Курс лечения может длиться от 3 до 4 месяцев. Нужно понимать всю серьезность заболевания и вовремя обращаться к врачу. А лечение одним желатином не избавит от артроза, а может только дать временное облегчение. Также лечение желатином может быть дополнением к уже назначенному врачом лечению.
Научно доказано, что желатин положительно действует на суставы. Его используют и наружно и внутрь. В последнем варианте загуститель действует эффективнее и быстрее, чем его внешнее применение. Во внутрь его принимают в виде фруктовых желе, мясных отваров, холодцов.
Еще один вариант — по утрам пить желатин натощак. Взять чайную ложечку пищевого желатина и залить стаканом теплой воды. Дождаться, пока желатин набухнет, и питье загустеет. Чтобы сделать его более приятным на вкус, можно прибавить ложку меда или немного лимонной кислоты.
Прием внутрь такого снадобья в течение трех месяцев сделает суставы и хрящи крепче. А если к этому еще прибавить правильное питание — овсяные каши, рыбные блюда, витамины и микроэлементы, контролировать свой вес, то будет положительный результат.
Наружно применяют загуститель в виде растирок, мазей и компресссов. Для лечения гонартроза сухой желатин прикладывают на больное колено, обернув марлей, смоченной в горячей воде. Мокрая марля нужна для размокания сухого желатина. С таким компресссом можно ходить весь день, но удобнее его делать на ночь.
В желатине имеется много аминокислот, повышающих упругость хрящей и замедляющих разрушительные процессы в них. Желатин состоит почти на 90% из белков, остальное — минеральные соли и вода. При этом отсутствуют консерванты.
По составу желатин — это коллаген, позитивно воздействующий на хрящи, поэтому он нужен организму. Хотя он не является лекарством, все же дает хороший лечебный эффект. Частый прием пищи, содержащей желатин, предотвращает заболевания суставов. Отмечено также положительное воздействие желатина на организм — становятся лучше волосы, замедляется процесс старения, улучшается память. По приведенному выше рецепту можно лечить артрит, артроз, растяжения связок. Желатиновое лечение проводится курсами. Попринимав его 10 дней, делают десятидневную паузу. Затем лечение продолжают.
Время лечения определяется личным здоровьем пациента и сложностью заболевания. К примеру, для врачевания болезней позвоночника пить желатин по указанному рецепту надо не меньше трех месяцев.
Но не всем можно лечиться желатином.
Он противопоказан тем, у кого имеются тромбозы, геморроидальные узлы, кто страдает заболеваниями почек, имеются камни в почках.
Настойка желатиновая. В 100 гр. воды всыпать 2 чайных ложечки желатина и оставить на ночь набухать. Утром долить 100 гр. теплой воды, хорошо размешать и принять за 30 минут до еды. Употреблять ежедневно целый месяц.
Желе молочное. В теплом молоке (150 гр.) развести 2 ложечки загустителя, добавить для вкуса меда, оставить набухать желатин, затем подогреть смесь, чтобы загуститель полностью растворился. Остудить желе и поставить в холодильник. Принимать 3 раза в неделю.
Водный раствор желатина. В стакане теплой воды растворить неполную столовую ложку желатина, размешать и выпить. Пить 2 раза в день в течение трех месяцев. Жестких правил как лечить суставы желатином нет. Но кое-каких советов надо придерживаться, иначе возникнут запоры, увеличение веса, может обостриться геморрой, желчнокаменная и мочекаменная болезни. Пациентам, имеющим болезни пищеварительного тракта или заболевания сосудов лучше не пить желатин.
Чтобы не допустить побочных эффектов, следует соблюдать некоторые правила. Дабы не было запоров, во время лечения желатином надо употреблять кефир, капусту, свеклу, шпинат, орехи, растительные масла. Дабы уменьшить нежелательные последствия от употребления желатина, надо кушать сухофрукты или пить чай с травой сенны и курагой. Для приготовления чая ингредиенты покрошить, залить кипятком и настоять. Напиток пить на ночь.
Для лучшего усваивания белка желатин надо сосать во рту. Так результат от приема желе проявится быстрее. Тот кто опасается нежелательных последствий от приема желатина, может применять его наружно. Если хрустят суставы, на ночь к проблемным местам можно приложить такой компрессс:
Учитывая, что лекарств, которые полностью могли бы излечить болезни суставов пока нет, а препараты, имеющиеся в аптеках, очень дорого стоят, лечение желатином может быть альтернативой.

Чаще всего артроз голеностопного сустава диагностируют у людей в возрасте 50 лет. Однако известны случаи, когда это заболевание обнаруживается и в более молодом возрасте, если у человека часто случаются разнообразные травмы — вывихи, ушибы и переломы. В соответствии с медицинской терминологией, артроз представляет класс болезней костно-мышечной системы и соединительной ткани.
Если ознакомиться с данными статистики за последние годы, то количество заболевших этим недугом достаточно высоко. Многие пациенты часто рассматривают возможность лечения артроза голеностопного сустава в домашних условиях. Но чтобы проще было решить эту задачу, не помешает вначале узнать, что собой представляет это заболевание и в виде каких симптомов оно проявляется.
К группе риска принято относить людей с избыточным весом, а наряду с ними и людей, придерживающихся активного образа жизни. Объяснить это можно довольно просто. Занимаясь различными видами деятельности, будь то ходьба, бег или силовые тренировки, сустав испытывает значительную нагрузку. Для него предусмотрен определенный предел нагрузки, и в тот момент, когда она превышает этот уровень, возможностей сустава не хватает, чтобы ее выдержать, и тогда возникают симптомы артроза. Больше всего здесь страдают ноги, как раз это и объясняет, почему у большинства людей диагностируют именно артроз суставов нижних конечностей.
Также подвержены этому заболеванию и женщины, которые любят носить обувь на высоких каблуках. В результате большой палец ноги подвергается повышенной нагрузке, что и приводит к развитию заболевания.
Люди, которые регулярно занимаются спортом, подвергают свой голеностоп чрезмерным физическим нагрузкам. Он не справляется с такими нагрузками, и тогда ускоряется процесс старения хрящей, которые становятся менее эластичными и трескаются. В этот момент в хряще происходит процесс отложения солей, которые провоцируют его разрушение.
Артроз голеностопного сустава требует особого внимания потому, что его могут вызывать самые разнообразные причины. Причем это могут быть не только некогда полученные тяжелые травмы и избыточный вес. Благоприятствующими развитию этого заболевания факторами могут быть:

Все вышеперечисленные причины могут спровоцировать и артроз коленного сустава.
В процессе своего развития болезнь проходит четыре этапа, на каждом из которых наблюдаются свои признаки. Процесс деформации стопы занимает много времени, поэтому, когда боли только появляются, человек не ощущает каких-либо изменений, которые бы указывали на присутствие болезни. Она заявляет о себе только через некоторое время, но до этого момента будут накапливаться симптомы, которые характерны для этого недуга. И в тот момент, когда возможности сустава полностью иссякнут, начнет проявляться артроз голеностопного сустава. В некоторых случаях первые симптомы заболевания могут проявиться только через несколько лет с начала его развития.
Травмы часто вызывают посттравматический артроз, который человек ощущает в виде отека левого или правого сустава. При отсутствии лечения к имеющейся болезни могут добавиться новые травмы, а это уже повышает риск развития воспаления — артрита.
Определить артроз можно по следующим признакам:

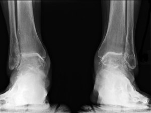
На каждой стадии заболевания наблюдаются различные симптомы, который можно определить в том числе и по рентгеновским снимкам.
В качестве терапии можно использовать народные средства, причем их назначают при любой стадии болезни. Но здесь необходимо учесть, что проводить лечение необходимо последовательно, не устраивая длительных перерывов в приеме лекарств.
Очень важно правильно отнестись к лечению артроза голеностопного сустава, от этого зависит, как будет проходить ваша жизнь. Если вы недостаточно серьезно отнесетесь к этому мероприятию, то рискуете стать калекой. В арсенале народной медицины имеется достаточно мазей и растирок, которые по эффективности превосходят многие медицинские препараты. Эти средства достаточно универсальны и подходят для лечения как голеностопного, так и коленного суставов.
Постоянное их применение позволяет быстро устранить болевые симптомы, улучшить самочувствие, а также замедлить процесс развития болезни. Весьма эффективными считаются мази на основе народных растительных средств, которые быстро убирают боль и воспаление при артрозе голеностопного сустава.
Хотя большинство народных средств являются безопасными из-за того, что их изготавливают на основе природных компонентов, все же не стоит рисковать и использовать этот метод лечения без одобрения лечащего врача.


При правильно подборе средств для лечения в домашних условиях эффект не заставит себя ждать. Усилить его можно, если сочетать с физиотерапевтическими методиками.
Хотя народные средства и считаются довольно эффективными, пренебрегать средствами официальной медицины не стоит. Все-таки они должны быть основой терапии, а народные средства стоит воспринимать только в качестве дополнения к ним. Здесь необходимо учесть, что народные средства смогут помочь только улучшить самочувствие, а вот убрать причины возникшей болезни они не в состоянии.
Для приготовления следующего средства понадобится жаропрочная посуда, в которую необходимо поместить сливочное масло и березовые почки, взятые в равных количествах. Далее емкость нужно поставить в микроволновку на полчаса. После этого массу отжимают, добавляют к ней камфорный спирт. Этой смесью растирают пораженную область голеностопного сустава. После процедуры сустав нужно укутать в теплое одеяло и оставить на 3 часа. Далее смесь смывают теплой водой. Такие компрессы быстро приносят облегчение и при болях в коленном суставе.
Убрать острые боли может помочь компресс на основе картофеля. Для него потребуется картошка средних размеров, которую измельчают на терке, после чего полученную кашицу наносят на сустав, а спустя 25 минут смывают теплой водой.
Для лечения артроза можно использовать чесночную настойку. Ее готовят из предварительно мелко порезанного чеснока и оливкового масла. Необходимо взять одну часть чеснока и 10 частей масла. После смешивания смесь убирают для настаивания на трое суток. Используют для внутреннего потребления по 1 чайной ложке утром до еды.
Занимаясь лечением артроза голеностопного сустава, стоит иметь в виду, что в это время организм испытывает острый дефицит кальция. Восполнить его поможет яичная скорлупа: для этого ее необходимо перетереть в порошок и добавлять в пищу.
Достаточно эффективным средством является настой на основе календулы. Помимо цветков этого растения, понадобятся березовые листья, крапива, которые берут в равном количестве и помещают в термос. Далее всю травяную смесь нужно залить кипящей водой. Готовый настой пьют регулярно по 4 раза в день по 100 мл. На каждый день нужно готовить свежую порцию настоя. Очень важно пройти курс лечения полностью без пропусков, иначе есть вероятность, что в дальнейшем смогут проявиться причины, которые привели к болезни.
Для лечения суставов наши читатели успешно используют Артрейд. Видя, такую популярность этого средства мы решили предложить его и вашему вниманию.
Подробнее здесь…

Опыт лечения заболевания показывает, что помимо приема назначенных специалистами лекарственных препаратов необходимо внести изменения в питание. Правильная диета позволяет уже в ближайшие недели убрать отёки и воспаление. Одновременно с этим ослабляются боли в суставах.
Диета для пациентов с диагнозом артроз голеностопного сустава важна еще и потому, что помогает убрать опухоль и замедлить процесс старения суставов. Доказано, что диета должна рассматриваться в качестве одного из первоочередных мероприятий терапии, которое позволяет эффективно бороться с любыми видами артроза. Переходить на лечебную диету следует и тем пациентам, которым поставлен диагноз артроз коленного или плечевого сустава.
Согласно рекомендации специалистов, диету следует рассматривать как обязательную меру при лечении артроза. Основная ее идея сводится к следующему: в меню должен присутствовать рыбий жир, свежие овощи. Также полезно раз в сутки выпивать стакан свежего апельсинового сока.
Учитывая постоянное прогрессирование симптомов болезни, необходимо уделять диете особое внимание. При правильном питании во время болезни можно значительно быстрее и с меньшими осложнениями вылечить артроз.

Артроз голеностопного сустава доставляет неприятности в первую очередь тем, что провоцирует сильные боли, мешая выполнению привычных действий. Даже ходьба с таким диагнозом будет доставлять серьезные неудобства. Но многие пациенты подтверждают, что своевременное обращение за помощью позволяет в короткие сроки забыть о неприятных болевых симптомах.
Для этого можно использовать не только медикаментозные препараты, но и народные средства. Такая комбинация позволяет усилить лечебный эффект. Не менее важна и диета во время лечения артроза голеностопного сустава. Она обеспечивает организм дополнительными силами, снимая с него нагрузку, в результате чего ускоряется процесс излечения артроза.
Деформирующий артроз коленного сустава, симптомы, причины развития и лечение которого мы рассмотрим ниже, является достаточно распространенной проблемой. По статистике с этой болезнью так или иначе сталкивается практически каждый пятый человек, но при этом она наиболее характерна для людей, которые старше 40 лет. Кроме того, это заболевание гораздо чаще встречается у женщин.

Сложность в том, что это заболевание прогрессирует постепенно, не проявляя себя сразу значимыми симптомами. Так, незначительная боль в колене людьми обычно воспринимается просто как досадное недоразумение, которое «пройдет само». Но боль постепенно принимает хронический характер, усиливается, подвижность сустава постепенно ограничивается, а после этого он начинает постепенно менять свой внешний вид. Тогда уже человек обращается к врачу, но проблема в том, что это происходит на поздних стадиях развития заболевания, когда лечение уже является достаточно сложным и зачастую — не слишком эффективным. Поэтому крайне полезно представлять себе, что представляет собой артроз коленного сустава 1 и 2 степени, когда симптомы еще не слишком выражены. Но выявление болезни именно в этот момент дает наибольшие шансы на успешное лечение.
Гонартроз является достаточно распространенным заболеванием с которым сталкиваются в основном пожилые люди. Но за последние несколько лет эта болезнь значительно «помолодела», сейчас в «группу риска» попадают люди, которые старше 30 лет.
Существует два основных вида этого заболевания — первичный и вторичный артрозы. Первичный встречается несколько реже, но это самостоятельное заболевание, которое появляется само по себе, не являясь при этом следствием воздействия прочих факторов. При этом причины развития данной болезни не известны, но считается, что причиной его развития являются метаболические нарушения.
Так, считают, что к развитию артроза коленного сустава может привести практически любой процесс, при котором происходит повреждение суставного хряща. Это может быть нарушение обмена веществ, эндокринные расстройства, различные нарушения кровообращения (атеросклероз, варикозное расширение вен и т. д.).
Одной из распространенных причин развития болезни считаются физические нагрузки и травмы сустава. Так, посттравматический артроз коленного сустава — распространенная проблема у спортсменов. Но нагрузка на сустав не всегда связана со спортом — избыточный вес также нагружает суставы, при этом попытка «сбросить вес» с помощью бега может оказаться серьезной ошибкой. По этой причине людям с лишним весом рекомендуют отказаться от бега и перейти на быструю ходьбу.
Вторичный гонартроз чаще всего возникает из-за недостаточно правильного или неполного лечения постоянных микротравм суставов, которые могут возникать из-за:
Также причиной развития заболевания может стать врожденная неполноценность коленных суставов, а также воспалительные процессы в этих суставах.
Рассуждая о том, как вылечить артроз коленного сустава, часто говорят о важности своевременного диагностирования проблемы. Так, все специалисты сходятся на том, что гораздо легче остановить развитие болезни, если она была выявлена еще на 1 или 2 стадии развития, а вот при позднем диагностировании этого заболевания добиться каких-то значимых результатов при лечении достаточно сложно. Но основная проблема состоит в том, что на ранних стадиях болезнь проявляет себя незначительно, потому люди зачастую просто игнорируют такие симптомы.
Так, единственным значимым симптомом заболевания на 1-й стадии является тупая боль, которая локализуется в глубине сустава. Появляется она обычно после продолжительной нагрузки, потому люди редко обращают на нее внимание.

Болевые ощущения на 2-й стадии этой болезни уже более интенсивные и продолжительные, может также появляться «хруст» в суставах при ходьбе. По утрам появляется некоторая скованность суставов, но она исчезает через некоторое время после ходьбы. Может наблюдаться небольшое ограничение подвижности при разгибании и сгибании сустава. Но симптомов хотя и много, все они малозаметны, потому большинство людей снимают боль в колене обычными анальгетиками, а на остальные проблемы просто не обращают внимания.
На третьей стадии боль становится постоянной и при этом усиливается независимо от того, двигается ли человек, или находится в состоянии покоя. Появляется чувствительность к смене погоды, из-за серьезных ограничений движения в суставах резко меняется походка, сустав увеличивается в размерах и деформируется. Все это может сопровождаться частыми воспалениями и напряжение мышц, которые расположены около сустава.
Игнорировать такие симптомы уже не в состоянии даже очень терпеливый человек, потому в большинстве случаев люди и обращаются к врачу именно на этой стадии развития болезни. Проблема в том, что «процесс» уже серьезно запущен, потому достаточно сложно будет изменить ситуацию к лучшему.
Как лечить артроз коленного сустава — вопрос достаточно сложный и объемный. Обычно процесс лечения сочетает в себе целый ряд лечебных мероприятий, которые должны снять болевые ощущения, активизировать кровообращение возле пораженного сустава, остановить разрушение суставного хряща и ускорить его восстановление, увеличить подвижность самого сустава и укрепить окружающие его мышцы.

Для устранения болевых ощущений обычно применяются нестероидные противовоспалительные препараты. Зачастую их применение просто необходимо, поскольку боль постоянная и при любом воздействии на сустав она усиливается. Так, при артрозе коленного сустава НПВП обычно применяются перед тем, как будет проводиться массаж, ЛФК или гимнастика. Различные упражнения и нагрузки при артрозе коленного сустава провоцируют усиление болевого синдрома, потому и приходится «глушить» боль предварительно. Но стоит учитывать, что сами по себе НПВП сустав не лечат, а просто выполняют функцию обезболивания.
Основным же лечением является прием хондропротекторов. Эти препараты не столько устраняют боль, сколько способствуют восстановлению поврежденной хрящевой ткани, а также лучшей выработке суставной жидкости. Лечение данного заболевание просто лишено смысла без этих препаратов, поскольку других методов восстановления хрящевой ткани по сути не существует.
Также при лечении активно применяются различные мази и кремы, а также компрессы. Следует понимать, что они не могут избавить человека от болезни, их основная задача — снятие болевых ощущений.
Один из распространенных методов — использование внутрисуставных инъекций кортикостероидных препаратов. Они практически моментально снимают болевой синдром, чем и заслужили признание у многих врачей, которые начали назначать их чуть ли не в профилактических целях. Но при этом Евдокименко (представитель вполне традиционной медицины, достаточно известный и уважаемый специалист), как и ряд других специалистов, лечение артроза коленного сустава с частым использованием таких препаратов считают неоправданным, поскольку по сути весь их эффект сводится к обезболиванию, а зачастую этого можно добиться и менее «кардинальными» средствами. При этом сам по себе данный препарат требует соблюдения некоторых правил, о которых многие специалисты просто не задумываются, увлекаясь «моментальным» эффектом.
Немалую роль в лечении играет и питание — диета при артрозе коленных суставов не так требовательна к выбору продуктов, как к их качеству, а точнее — к отсутствию в них консервантов и прочей «химии».
Лечение такого заболевания, как артроз коленного сустава, также предполагает использование таких методов, как мануальная терапия, физиотерапия и лечебная гимнастика. Но при этом можно отметить, что наиболее эффективны они на ранних стадиях развития заболевания.
Артроз коленного сустава занимает лидирующую позицию по частоте возникновения в группе заболеваний артрозных поражений суставов. По тяжести течения, заболевание находится на втором месте после коксартроза.
Гонартрозом страдает каждый пятый человек на планете. Предрасположение к этому недугу имеют в особенности люди старше 40 лет и, как отмечается при этом, у женщин заболеваемость почти в 2 раза выше, чем у мужчин. По статистике, в мире страдают гонартрозом 7- 22% людей.
Можно сказать, что при этом заболевании суставной хрящ растрескивается, становится тоньше, теряя при этом свою волокнистость и амортизационные свойства, что, в принципе, не дает возможности во время движения смягчать периодические удары коленного сустава и тела.
Сегодня мы рассмотрим артроз коленного сустава, узнаем что это такое, каковы симптомы данногу недуга, а также расскажем эфективные методы лечения, в том числе в домашних условиях.
По каким причинам развивается артроз коленного сустава, и что это такое? Ежедневно наши коленные суставы в процессе ходьбы, выдерживая массу всего тела, подвергаются физическим нагрузкам. Хрящевая ткань с годами изнашивается, вызывая изменения в суставе. Поэтому у людей преклонного возраста возникают артрозы коленных суставов.
В группу риска заболевания гонартрозом относят людей:
Болезнь развивается постепенно, очень важно вовремя обратиться за квалифицированной помощью к врачу, чтобы избежать ограничения движения сустава и инвалидности в будущем.
При артрозе коленного сустава наблюдаются определенные симптомы. Характер болевых ощущений:
Самым главным симптомом, свидетельствующим о возникновении гонартроза, являются болевые ощущения в коленной суставной области. При этом болезнь не возникает резко, боли будут нарастать на протяжении многих месяцев и даже лет. Сначала они будут беспокоить больного только при повышенных нагрузках на ноги, а затем даже в состоянии покоя.
Артроз 1 степени протекает практически без видимых симптомов. Для этой фазы развития характерны:
Болевые симптомы если и имеют место, то проявляются в незначительной степени. В этот момент артроз колена выглядит на рентгеновском снимке в виде небольших неровностей на хрящевой ткани и поверхности костей.
Может наблюдаться также незначительное сужение просвета между костьми. На этом этапе диагностировать патологию крайне сложно, поэтому обязательным является прохождение рентгенографии.
При артрозе коленного сустава 2 степени симптомы выражены более ярко. Боли возникают они уже от минимальной нагрузки либо сразу после нее. В пораженной части ноги боль вызывается практически любым движением. После достаточно продолжительного отдыха она обычно полностью проходит. Однако очередные физические действия сразу вызывают боль.
Примерно на втором этапе развития болезни к болевым ощущениям добавляются:
Грубый артрозный хруст суставов, как правило, сначала еле слышен, но с течением болезни становится очень громким и отчетливым. При попытке согнуть ногу в колене возникает резкая боль. В отдельных случаях сделать это получается только до угла в 90 градусов, и то с трудом и превозмогая боль. Также становится очевидным изменение формы сустава, что усугубляется еще и скоплением в нем патологической жидкости.
Характерными особенностями 3 степени артроза становятся сильные боли, не зависящие от количества, интенсивности физических нагрузок. Сустав беспокоит человека даже в ночное время, этим доставляет существенные неудобства.
Подвижность коленного сустава нарушена и самостоятельно согнуть ногу в колене человек уже не способен. Наблюдается чувствительность к переменам погоды, на которые пораженный участок очень чутко реагирует.
Рентгенограмма способна показать глобальные изменения хрящевой ткани, поверхности сустава, нехарактерные наросты. О-образное или икс-образное искривление доводит человека до инвалидности.
Врач, выслушав жалобы пациента, при осмотре в первую очередь обращает внимание на видимые изменения в строении конечности (огрубение конкуров костей, деформирование), снижение подвижности в суставе. Прощупывание сопровождается болями, при сдвиге коленной чашечки прослушивается хруст.
Основной метод диагностики гонартроза – рентгенография сустава (при этом на первой стадии патология может быть и не выявлена). Таких снимков может быть несколько, чтобы проследить динамику развития заболевания. Помимо рентгена могут быть назначены МРТ или компьютерная томография.
Все эти исследования необходимы, чтобы правильно определить причины заболевания, а также дифференцировать гонартроз от других болезней суставов.
При диагностированном артрозе коленного сустава лечение может включать в себя такие методы:
Цели лечения гонартроза:
Очень важны массажные процедуры, лечебная физкультура и правильное сбалансированное питание (диета). Если обращение к врачу происходит слишком поздно или никакой метод результата не дал, то может быть проведена операция на суставе: хирургическим вмешательством называют установку эндопротеза.
К основным группам медицинских препаратов, применяемых для лечения артроза можно отнести следующие категории:
В качестве НПВП используются препараты — диклофенак, кетопрофен, пироксикам, бутадион, индометацин, ибупрофен, нимулид, целебрекс и их производные.
При артрозе нестероидными, т.е. негармональными, противовоспалительными препаратами традиционно пользуются для устранения воспаления и боли, поскольку из-за сильной боли нет возможности начать лечение. Только после того, как боль устранится противовоспалительными препаратами, можно переходить к массажу, комплексу лечебной гимнастики и физиотерапевтическим процедурам.
В том случае, когда лечения НПВП недостаточно, и заболевание продолжает прогрессировать, врач может назначить инъекции гормональных препаратов. Они относятся к средствам «тяжелой артиллерии» и помогают быстрее устранить боль, снять воспаление и отек окружающих тканей.
Часто используемые гормональные препараты:
Ввиду большого количества побочных эффектов гормональные препараты назначают короткими курсами, только в острый период заболевания, когда в суставной полости скапливается воспалительная жидкость. Препарат вводят в суставную щель не чаще 1 раза в 10 дней.
Являются единственными медикаментами, которые непосредственно влияют на причину артроза суставов. Особенно на ранних стадиях и особенно те, которые содержат хондроитин и глюкозамин сульфат.
К хондропротекторам относятся:
Действие этих препаратов основано на восстановлении нормальной выработки синовиальной жидкости и поврежденной хрящевой ткани.
Достаточно эффективна на начальных стадиях артроза коленного сустава. Вводится внутрисуставно.
Процедура не из дешевых. Способствует уменьшению истирания поверхностей хряща сустава. Главное – чтобы лекарство не проникло в кровоток, есть риск эмболических осложнений.
Существует большой список мазей и гелей, направленных на избавление от боли и уменьшение воспалительного процесса.
В этот список входят мази при артрозе коленного сустава:
Список мазей для суставов колен довольно большой и не ограничивается перечисленными нами, и состав лекарственных средств входящих в мази бывает, схож между собой.
Как лечить артроз колена в домашних условиях? Медикаментозную терапию способны дополнить некоторые рецепты народной медицины.
Многие больные артрозом коленного сустава отмечают значительное улучшение состояния и снижение болезненных и неприятных ощущений после применения средств народной медицины, предназначенных для внешнего или наружного применения.
Положительный результат не возможен без курса лечебной гимнастики которую можно выполнять в домашних условиях. Она укрепляет мышцы, улучшает кровообращение в суставе. Для получения нужного эффекта нужно забыть об интенсивном напряжении сустава.
Главное правило при лечении гимнастикой – медленные и размеренные движения без каких-либо рывков.
Правильное питание – важная составляющая успешного лечения при артрозе коленного сустава.
Питаться следует чаще, съедая при этом маленькие порции. Это позволит ускорить метаболизм, что приведет к снижению веса. Между основным приемами пищи при возникновении приступов голода допускаются перекусы. Для них могут использоваться фрукты, за исключением винограда и бананов, цельнозерновые хлебцы.
Большинство людей испытывают боли в коленях. Почему это происходит? Коленный сустав человека предрасположен к дегенеративным процессам. Он несет большую нагрузку, подвержен ежедневному износу, травмам (во время занятий спортом, в повседневной жизни).
Остеоартроз – это дегенеративное заболевание. Под нагрузкой, особенно если еще нарушен обмен веществ, изменяется питание хряща, покрывающего внутрисуставные поверхности костей. На хряще появляются трещины, он фрагментируется, разрушается, это сопровождается воспалением. Постепенно, если не лечиться, участки подлежащей кости теряют хрящевой покров, что приводит к механическому раздражению костной ткани, ее уплотнению, появлению костных разрастаний – остеофитов. Все это человек ощущает как боль, усиливающуюся при нагрузке на сустав, скованность, ограничение движений. Больному деформирующим остеоартрозом становится тяжело ходить, выполнять ежедневную работу. На рентгенограмме наблюдается неравномерное сужение суставной щели, кисты и остеофиты. Возможна и полная утрата суставного хряща, а соответственно, и обездвижение сустава. Стоит помнить, что остеоартроз – это не отложение солей, как принято говорить в народе, это разрушительный процесс, начинающийся с хрящевой ткани.
Остеоартроз коленного сустава редко встречается отдельно, чаще он наблюдается в составе деформирующего полиартроза, когда страдают несколько суставов тела. После 60 лет до 25 % женщин страдают этим заболеванием, у пожилых мужчин полиартроз наблюдается несколько реже. Но коленный сустав может болеть и у молодых, активных, занимающихся спортом людей. Причем если повреждено одно колено, второй сустав берет на себя нагрузку и хрящ в нем трескается, истончается, развивается так называемый перегрузочный артроз.
Артроз может быть первичным и вторичным, который развивается на фоне предшествующего заболевания (ревматоидный артрит, подагра) или после травмы, хирургической операции на суставе.
Это заболевание не заразно, не передается по наследству, скорее, от родственников можно получить предрасположенность к его развитию.
Не стоит ждать явных признаков артроза, чтобы начать терапию. Но на практике большинство пациентов впервые идут к врачу на 2-й или даже 3-й стадии. Лечить это заболевание гораздо эффективнее на ранней стадии. Запомните ее признаки:
Симптомы, при которых нужно сразу же обратиться к доктору:
Артрозом коленного сустава занимается ортопед, но чаще всего пациент не сразу попадает к этому специалисту, и артроз коленного сустава диагностирует терапевт или хирург. Есть необходимый минимум обследования, с результатами которого можно направляться к ортопеду:
После клинического осмотра ортопед может назначить дополнительные методы диагностики, если посчитает нужным. К ним относятся:
Артроз коленного сустава невозможно вылечить полностью, вернуть сустав в здоровое состояние. Но с помощью комплексной терапии вполне можно добиться стойкой ремиссии. Цель терапии – затормозить или прекратить прогрессирование болезни, улучшить состояние хрящевого покрова, его питание, восстановить объем движений в суставе. Если артроз достиг 3-й или 4-й стадии, лечение затруднительно, чаще всего решается вопрос об операции. Самый радикальный метод хирургического лечения – замена сустава (эндопротезирование).
Таким образом, методы лечения можно разделить на две группы – консервативные и оперативные.
Следует помнить, что залог успешного лечения в его комплексности и периодичности. Идеальный вариант – это сочетание нескольких методов терапии и прохождение курса раз в полгода, а также некоторые домашние методы лечения.
Все эти методики являются вспомогательными и не заменяют основной терапии, назначенной врачом и возможной в медицинском учреждении.
Специфических мер предупреждения этого заболевания не существует, т. к. артроз возникает по многим причинам. Нет такого лекарственного препарата, приняв который, вы предупредите артроз. Прежде всего стоит вести здоровый образ жизни и помнить о факторах риска остеоартроза:
Профилактикой артроза коленных суставов следует заниматься всем без исключения, чтобы сохранить их здоровыми как можно дольше.
При появлении болей, хруста в коленных суставах необходимо обратиться к терапевту или ревматологу, которые посоветуют медикаменты для лечения гонартроза. Постепенно разрушение хряща будет прогрессировать, несмотря на лечение, и в итоге будет необходима помощь хирурга-ортопеда. Дополнительно следует проконсультироваться у гинеколога (для назначения заместительной гормональной терапии), диетолога (для снижения веса), физиотерапевта, специалиста по лечебной физкультуре и массажу.
В группе заболеваний опорно-двигательного аппарата дегенеративно-дистрофического происхождения, гонартроз коленного сустава занимает ведущее место.
Гонартроз или артроз коленного сустава — это заболевание, сопровождающееся медленным разрушением хрящевой ткани сустава с вовлечением в патологический процесс всего сустава, включая связки, синовиальную оболочку, субхондральную кость и другие элементы сустава.
Под воздействием различных факторов, таких как инфекционные заболевания (простуда, грипп, тиф, туберкулез, сифилис, ангина и ряда других), травмы, функциональная перегруженность сустава (например, у спортсменов, работников, занимающихся тяжелым физическим трудом, артистов балета и др.) происходит нарушение трофики (питания) хрящевой ткани коленного сустава, в результате хрящ истончается и разрушается, порой до полного исчезновения.
Кто находится в группе риска? Прежде всего, артроз коленного сустава рискуют «заработать» женщины старше сорока лет, у них он встречается в 2 раза чаще, чем у сильной половины человечества. Причем риск увеличивается у тех женщин, которые склонны к полноте, или страдают ожирением.
Но по большому счету, гонартроз — это болезнь пожилых. И этому есть простое объяснение. Как известно хрящевая ткань примерно на 70-80% состоит из воды, благодаря этому она хорошо амортизирует. Кроме того, в молодом возрасте активно работают клетки «восстановители» хондроциты. С возрастом количество влаги начинает уменьшаться, а, следовательно, ухудшается и возможность амортизации сустава, хрящ становится сухим, хрупким и растрескивается, а имеющиеся хондроциты не успевают восстанавливать повреждения. Во многом, этим и объясняется возникновение гонартроза коленого сустава.
Предрасполагающими факторами служит лишний вес, гиподинамия, застарелая травма сустава или систематическая микротравматизация сустава, злоупотребление алкоголем, хронический стресс, перенесенные ранее или имеющиеся заболевания коленного сустава, такие как:
и ряд других патологических состояний. Достаточно часто, какой-то одной конкретной причины вызвавшей гонартроз коленного сустава установить не удается, в этом случае, говорят о комбинированной причине, то есть гонартроз явился следствием сразу нескольких заболеваний.
Так же заболевание, по причинам возникновения, принято разделять на две формы: первичную и вторичную.
Причиной первичного артроза является возраст и наличие сопутствующих факторов, таких как:
Причиной вторичного гонартроза может служить полученная ранее травма колена (перелом, разрыв связочного аппарата), именуемая — посттравматический артроз коленного сустава. Так же причиной могут быть, перенесенное ранее инфекционное заболевание или воспаление коленного сустава.
Признаки артроза коленного сустава не появляются в один момент, развитие болезни происходит постепенно и занимает нередко несколько месяцев, а то и лет. На первый план выступают боли носящие постоянный характер и усиливающиеся при двигательной активности — ходьбе, беге, спуске или подъеме по лестнице и так далее. Еще одним, характерным для данного заболевания симптомом, служит наличие крепитации в суставе, это может быть треск или хруст в колене. Также весьма частыми проявлениями гонартроза служат:
По мере прогрессирования болезни, когда хрящевая ткань полностью разрушена, организму ничего не остается, как начинать защищаться. Это проявляется разрастанием костной ткани на костях, формирующих сустав в виде «шипов» (остеофитов), возникает деформирующий артроз коленного сустава. В суставных полостях появляется эксудат.
В зависимости от размера остеофитов и степени деформации, выделяют несколько степеней гонартроза:
Что бы добиться хороших результатов от лечения следует обратиться за помощью к квалифицированному врачу-ревматологу, а если его нет, то к терапевту, так как именно они знают, как вылечить артроз коленного сустава. Ни в коем случае не стоит пытаться лечить его самостоятельно, это может только усугубить и без того не лучшую ситуацию. Перед началом лечения крайне важно поставить верный диагноз, так, как правильная диагностика залог успешного лечения.
Лечение гонартроза — это процесс достаточно длительный и зависит от целого ряда факторов (вида артроза, причины вызвавшей артроз, степени заболевания). Лечение комплексное и включает в себя медикаментозную и немедикаментозную терапию, а в ряде случаев показано хирургическое лечение.
Медикаментозное лечение артроза коленного сустава направлено, прежде всего, на купирование основных проявлений заболевания, таких как:
Помимо снятия симптомов болезни лекарственные средства применяют для:
Для купирования болевых симптомов используют различные ненаркотические анальгезирующие средства, в редких случаях, на короткое время, назначаются наркотические обезболивающие вещества. Чаще всего применяют лекарственные средства из группы нестероидных противовоспалительных препаратов. Они обладают комбинированным противовоспалительным, обезболивающим и жаропонижающим действием. Наиболее широко используются: диклофенак, индометацин, пироксикам, ибупрофен, кеторолак, кетопрофен. Хорошо зарекомендовал себя такой препарат, как мовалис.
Для восстановления хрящевой ткани и улучшения подвижности сустава используют хондропротекторы, такие как, хондроитинсульфат и глюкозамин. Эти препараты стимулируют деятельность клеток хряща — хондроцитов, и помогают им восстанавливать ткань. Хороший эффект дает внутрисуставное введение ходропротеторов, таких как — хондролон и алфлутоп. В последние годы появилось новое, эффективное средство на основе гиалуроновой кислоты — Остенил. За свое действие этот препарат называют «жидким протезом». После введения в больной сустав этот препарат образует защитную пленку на поврежденном хряще и постепенно восстанавливает нормальные характеристики смазки сустава.
Для снятия мышечных спазмов используют миорелаксанты, помимо расслабляющего действия они положительно влияют на кровообращение в пораженном суставе.
Из немедикаментозных методов лечения гонартроза широко используется мануальная и физиотерапия. Наибольшее значение имеет магнитотерапия, иглотерапия, электрофорез и массаж, аппаратная тракция (вытяжение сустава) и другие. В последнее время в практику лечения артроза вошли такие методы, как лазеротерапия, криотерапия (воздействие жидким азотом). Наряду с физиопроцедурами, лфк при артрозе коленного сустава также дает хороший эффект. Лфк — это применение с лечебной целью различных физических упражнений.
В начале заболевания физические нагрузки на больной сустав должны быть сведены к минимуму. Не стоит заниматься бегом, прыжками, поднятием тяжести, быстрой ходьбой, приседаниями. Упражнения при артрозе коленного сустава можно выполнять лишь после прохождения курса лечения, под контролем своего лечащего врача.
Необходимо выбирать упражнения, способствующие укреплению мышц и связок пораженного коленного сустава, но при этом не приводящие сустав к излишней подвижности. То есть упражнения должны быть с минимальной динамической активностью. Полезно выполнять упражнения по растяжению связок и суставных капсул. Правила здесь такие же, упражнения выполнять мягко, без применения всяческих усилий. При выполнении любых гимнастических упражнений важно следовать некоторым правилам:
Массаж при артрозе коленного сустава оказывает благотворное влияние на восстановление функций коленного сустава. В месте воздействия расширяются сосуды, улучшается кровообращение и ускоряется обмен веществ. Массажные процедуры улучшают ток лимфы, а это, в свою очередь, способствует устранению остаточных явлений воспаления. Массаж укрепляет мышечную систему, увеличивает в них приток кислорода, улучшает газообмен, нормализует их тонус, повышает пластичность.
В последнее время специалистами в области медицины было выяснено, что прямой зависимости между заболеваемостью гонартрозом и питанием не существует. Однако неоспоримым фактом является то, что на развитие артроза большое влияние оказывает наличие у человека лишнего веса. Если причиной болезни явился именно лишний вес, то очевидно, что питание при артрозе коленного сустава должно быть направлено на постепенное снижение массы тела. Для этого потребуется смена рациона и изменение режима питания. Пища должна быть менее калорийной, следует исключить из рациона жареные продукты, и продукты с большим содержанием жира. Употреблять в пищу больше овощей, фруктов и жидкости.
Для того чтобы суставы оставались здоровыми как можно дольше, необходимо регулярно заниматься физической культурой и гимнастикой, но не стоит этим чрезмерно увлекаться, чтобы это не привело к перегрузке суставов. Наилучший эффект и минимальную нагрузку на суставы дает плавание. Если имеет место профессиональное занятие спортом, необходимо использовать защиту для суставов. Полезно чередовать физическую активность с отдыхом, не стоит долго оставаться в неподвижном состоянии.
Соблюдение всех этих нехитрых правил в сумме со здоровым образом жизни и правильным питанием не позволят артрозу коленного сустава испортить жизнь ни одному человеку.