
Глава Института лечения суставов: «Вы будете поражены, насколько просто можно вылечить суставы принимая каждый день.
По данным статистики, полученной Всемирной Организацией Здравоохранения, заболевания суставов сегодня прочно занимают третье место. Опередили их только проблемы, связанные с пищеварительной системой, сердцем и сосудами. В той или иной форме проблемами с суставами страдает каждый четвертый житель планеты.
Если раньше эта патология поражала преимущественно людей старше 45–50 лет, то в настоящее время её возраст сильно помолодел. Воспаления, отложения солей и деформации суставов могут встречаться даже в возрасте 25 лет.
Для лечения суставов наши читатели успешно используют Артрейд. Видя, такую популярность этого средства мы решили предложить его и вашему вниманию.
Подробнее здесь…

Все многообразие патологий, поражающих опорно-двигательный аппарат, условно можно разделить на две группы:
Первое от второго отличается наличием воспаления в суставе. В случае с артритом воспаление присутствует всегда. Другими словами, термин артриты объединяет все патологии суставов, при которых в них возникает воспаление. При этом неважно пострадал от него только один сустав или сразу несколько.
Причиной возникновения артритов могут быть травмы, попавшие в сустав вирусы, бактерии или грибки и даже собственная иммунная система.
Что же касается артрозов, то развиваются они по другим причинам. Обычно причиной разрушения сустава являются сильные физические нагрузки, травмы, нарушения кровообращения или возрастные изменения. В случае с артрозом воспаление не развивается.
Наиболее тяжелой патологией считается ревматоидный артрит, при котором суставные ткани начинают атаковать клетки иммунной системы организма. Особенно мучительно протекает артрит ног, при котором пораженная конечность может полностью потерять способность двигаться. А наиболее часто встречается артроз коленного сустава – гонартроз.
Несмотря на то, что эти заболевания протекают по-разному и возникать могут по разным причинам, медикаментозное лечение артрита и артроза часто схоже. Вначале врачи назначают препараты, помогающие снять боль и уменьшить воспаление в суставе. Потом в ход идут средства, способствующие восстановлению хрящевой ткани, улучшающие кровообращение и нервную проводимость.
В основном лекарства от артрита и артроза относятся к рецептурному отпуску. Независимо от вида артрита лекарства для лечения, схемы, дозировку и продолжительность курса должен подбирать врач.
Чувство боли у человека возникает из-за раздражения особых, болевых рецепторов, которые находятся практически во всех тканях и органах. Она может быть различной интенсивности и каждым воспринимается по-своему. Часто боль и воспаление идут рука об руку, при этом образуя замкнутый круг в котором воспаление усиливает боль, а боль, в свою очередь, провоцирует образование медиаторов воспаления.
Именно по этой причине и при артрите, и при артрозе применяются препараты способные уменьшать и то и другое. Разделить их можно на две группы: нестероидные противовоспалительные средства и препараты стероидных гормонов.

Датой рождения этих препаратов считается 1897 год, когда знаменитый химик Феликс Хоффманн открыл вещество известное во всем мире под названием Аспирин. Сегодня НПВС являются одной из самых многочисленных и популярных групп лекарственных средств.
Эти лекарства при артрите или же артрозе способны блокировать активность фермента циклооксигеназы (ЦОГ), которая отвечает за выработку в организме веществ – медиаторов воспаления. Таких, например, как простагландины, тромбоксаны или простоциклины. По избирательности действия они делятся на препараты первого и второго поколения.
Средства неизбирательного действия, блокирующие все виды фермента ЦОГ. К ним, например, относятся такие препараты, как сам Аспирин, Диклофенак, Кетопрофен и Ибупрофен. Основной их недостаток – агрессивное воздействие на слизистую желудка.
Циклооксигеназа, помимо ответственности за выработку медиаторов воспаления также участвует в синтезе веществ образующих защитную слизистую оболочку в желудке. Правда, за эти процессы отвечает другая её разновидность, а именно ЦОГ-1, в то время как в появлении воспаления виновата в основном ЦОГ-2.
Из-за неразборчивого действия препараты первого поколения блокируют оба варианта фермента и тем самым могут провоцировать развитие или обострение гастрита или же язвенной болезни.
Именно поэтому НПВС первого поколения при артрите врачи стараются назначать в низких дозах и короткими курсами.
Средства, отличающиеся преимущественным влиянием на ЦОГ-2. Чаще всего при артрите из этого поколения применяются такие препараты, как Нимесулид, Мелоксикам, Аркоксия или Целебрекс. Эти препараты щадят желудок, так как практически не влияют на первую разновидность фермента. Как правило, они назначаются длительными курсами, так как влияния на желудок практически не оказывают.
Однако и у них есть существенный недостаток – влияние на сердечно-сосудистую систему. Поэтому при наличии ишемической болезни сердца, нестабильной стенокардии, гипертонии или других похожих проблем, назначенный из этой группы средств препарат принимать следует с осторожностью.
Подбирать средство из группы НПВП, схему и продолжительность его приема должен ваш лечащий врач.

Эти гормоны в норме вырабатываются в организме человека корой надпочечников. В медицине их синтетические аналоги применяются для снятия сильного воспаления и боли при артритах и артрозах примерно с 1940 года.
Так же как и НПВС гормональные препараты от артрита и артроза способны влиять на ЦОГ. Однако не на её активность, а непосредственно на процесс образования этого фермента. Помимо этого, они влияют на еще один фермент – фосфолипазу A2, которая тоже участвует в синтезе веществ, провоцирующих воспаление. По степени активности гормональные препараты для лечения суставов делятся на:
Таблетки от артроза или артрита, содержащие глюкокортикоиды относятся к сильнодействующим и назначаются врачами только в том случае, когда другие средства снятия воспаления и боли не помогают.

Артрит и артроз являются заболеваниями, при которых в суставе происходит разрушение тканей и структур. Даже когда воспаление и боль удалось победить, эти изменения могут стать причиной скованности и ограниченной подвижности. Для того чтобы предотвратить такие негативные изменения и по возможности максимально восстановить пострадавший сустав и применяются препараты-хондропротекторы.
Одними из основных веществ, обеспечивающих здоровье любого сустава, являются глюкозамин и хондроитин. При патологиях опорно-двигательного аппарата собственных веществ в организме не хватает и их приходится поставлять извне.
Механизм действия таких таблеток от артрита или артроза основан на том, что входящие в их состав вещества способны встраиваться в поврежденную хрящевую ткань. Тем самым они восполняют недостаток питания и тормозят разрушение сустава. В зависимости от состава они делятся на несколько поколений:
Хондропротекторы являются довольно действенным средством. Однако, хороший лечебный эффект от них развивается медленно и применять их нужно длительными курсами от трех месяцев до года.
Существует и еще одна особенность лечения данными медикаментами. В случае с артритом их назначают после того, как острый воспалительный процесс будет снят. При этом не так важно как именно повредил сустав артрит таблетки, мази или растворы для инъекций с хондропротекторами позволяют подобрать наиболее действенную схему лечения в любом случае.

Схема лечения, включающая противовоспалительное средство и хондропротектор, является основой при лечении любой патологии сустава. Однако это далеко не все препараты, которые могут назначать врачи при лечении артрозов и артритов. Помимо них, список может включать:
Препаратов для лечения артрита и артроза существует очень много. Каждый из них эффективен при определенной форме заболевания или при поражении определенного сустава. Например, артрит колена может лечиться совсем иначе, чем артрит, возникающий в мелких суставах.
Поэтому заниматься самолечением даже при точно поставленном диагнозе нельзя. Артроз или артрит, лекарство от которого подобрано некорректно, не только не пройдет, но будет развиваться и дальше, разрушая сустав.
Есть и еще один нюанс лечения – диета и правильная физическая нагрузка. Неважно поставлен вам диагноз артроз или артрит рук или ног лекарство будет недостаточно эффективным, если вы не пересмотрите свой рацион и образ жизни.
Суставы являются поистине уникальным образованием, способным при кажущейся хрупкости выдерживать вес тела и справляться с довольно высокими нагрузками. Чтобы не потерять это их качество вовремя обращайтесь к врачу и не игнорируйте тревожные симптомы.
Артрозом называется заболевание суставов пальцев и стоп ног, которое характеризуется поражением хрящей. Данное заболевание является распространенной причиной потери работоспособности. Человека, которому был поставлен диагноз «артроз», мучают сильные боли в суставах. А ограниченность движений конечностей и нарушенная мелкая моторика создают множество проблем. Данное заболевание не всегда получается вылечить полностью, но, учитывая возможности современной медицины, можно не только снять некоторые симптомы, но и затормозить развитие недуга, не допуская при этом деформации пальцев и стоп ног.
Любая форма артроза (полиостеоартроз, остеоартроз) начинается с того, что в подхрящевых слоях надкостницы стопы или пальцев нарушается кровоток. Это приводит к плохому питанию хрящевой ткани. В результате хрящ становится тонким и менее эластичным, а его поверхность покрывается трещинами. Снижается объем синовиальной жидкости, а сильное трение костей приводит к воспалению пораженных суставов стоп ног и пальцев. Если вовремя не начать лечить, то заболевание начинает прогрессировать.

Прогрессирующий артроз (остеоартроз или полиостеоартроз) — достаточно опасная болезнь. Если при первых признаках ее не начинают лечить, то стопы ног и фаланги пальцев приобретают уродливую форму и утрачивают подвижность.
Нередко заболевание проявляется в период менопаузы. Гормональный фон женщин меняется, из-за чего снижается количество вырабатываемого гормона – эстрогена. Происходит потеря влаги, которая делает хрящи стоп ног и пальцев хрупкими.
В зависимости от того, где локализируется артроз (полиостеоартроз и остеоартроз), заболевание делится на две группы:
Для лечения суставов наши читатели успешно используют Артрейд. Видя, такую популярность этого средства мы решили предложить его и вашему вниманию.
Подробнее здесь…

Полиостеоартроз, артроз и остеоартроз кистей рук – заболевания, которые часто встречаются у секретарей, операторов компьютерного набора, пианистов, баянистов и т д.
Недуг в первую очередь поражает мелкие суставы между фалангами пальцев. Ткани, задетые недугом, теряют влагу и покрываются множеством мелких трещин. В группу риска попадают женщины в возрасте от 40 лет.
Чтобы разработать оптимальную схему лечения недуга, доктор А Мясников рекомендует в первую очередь выявить источник артрозных аномалий пальцев рук и стоп ног.
Артроз, остеоартроз и полиостеоартроз, как правило, возникают, по следующим причинам:
Одной из причин возникновения артроза стоп доктор А Мясников считает ношение неудобной обуви. Кроме того, переохлаждение стоп, регулярная и долговременная ходьба на длинные дистанции и повышенная нагрузка на стопы из-за лишнего веса также могут спровоцировать развитие таких заболеваний, как артроз, остеоартроз и полиостеоартроз.
В одной из своих работ А. Мясников сделал акцент на то, что у артроза есть три следующие стадии развития:

Лечение артроза мелких суставов кистей рук необходимо осуществлять в соответствии с общепринятыми принципами проведения терапии данной болезни. Лечение должно быть направлено на то, чтобы снять воспаление, восстановить хрящевую ткань и возобновить подвижность пораженных суставов.

Терапия недуга напрямую зависит от стадии болезни. Если заболевание обостряется и симптомы становятся ярко выраженными, то терапия должна быть направлена на снятие болевого синдрома и уменьшение воспаления.
В этом случае специалисты рекомендуют не поднимать тяжелые предметы, а также уменьшить нагрузку на суставы. В основе медикаментозной терапии находятся препараты, которые снимают отек и боль (например, Диклофенак). Чтобы купировать симптомы, применяется фонофорез с Гидрокортизоном. Также могут использоваться инъекции гормонов, которые делаются в сустав.

Терапия вне обострения должна быть направлена на восстановление хрящей и подвижность суставов. Для этого могут применяться препараты-хондропротекторы (к примеру, Хондроксид).
Следует отметить, что лечение данными препаратами длится долго, а максимальный эффект достигается только на ранней стадии, когда еще симптомы не четкие и не начались деформационные процессы.
Физиотерапия необходима для того, чтобы восстановить кровоток и улучшить метаболические процессы в хрящах. Чаще всего для этого применяется лазерная и магнитная терапия.
Также рекомендуется делать щадящий массаж суставов. В основном это постукивание по кистям или легкое растирание пальцев. Упражнения ЛФК включают игру с небольшими мягкими игрушками, ритмичные легкие удары по поверхности стола и перебирание бус (четок). Перед тем, как начинать упражнения, необходимо сделать разогревающие ванночки.
После консультации со специалистами также можно лечиться народными средствами.
Вместе с лечением, прописанным специалистами, можно пользоваться также народными средствами. Например, делать согревающие ванночки с живокостом, чередой, мать-и-мачехой, а также компрессы из меда и соли. Чаще всего их следует делать перед тем, как начинать упражнения ЛФК. Это позволяет снять боль и отечность пораженных суставов. Кроме того, можно использовать рецепты для внутреннего применения, которые улучшают обмен веществ и кровообращение.
Для профилактики заболевания рекомендуется выполнять специальные упражнения и массажи. Помимо этого, после консультации с диетологом можно начать соблюдать специализированную диету.
В разном возрасте люди испытывают резкую боль в шейном отделе позвоночника. Сам столб позвоночника состоит из суставов и позвонков, поэтому такой коварный недуг, как артроз, встречается и в зоне шеи позвоночника. Если не лечить, то впоследствии произойдёт полное разрушение дисковых хрящей, так как происходит искажение межпозвонковых дисков.

Артроз унковертебральный шейного отдела позвоночника приводит к повреждению межпозвонковых дисков, на них возникают наросты, которые начинают давить на позвоночную вену или артерию, происходит своеобразное защемление, это приводит к болезненному ощущению, больной не может поворачивать и наклонять голову, свободные движения плечами произвести невозможно. Это приводит к развитию патологических изменений в анатомическом строении позвоночника, также отмечается пропадание чувствительности и расстройство рефлексов.
Рассмотрим суть этого недуга. Унковертебральный артроз поражает фасеточные суставы, межпозвонковые диски в зоне шеи. Повреждённый отдел теряет нормальную подвижность. В хрящевой ткани, расположенной между позвонками, запускается процесс разрушения, оказывая влияние в дальнейшем на нервные пучки и кровеносные сосуды. Начинают образовываться разнообразные неврологические нарушения. Происходящие изменения в структуре шейного отдела позвоночника приносят пациенту существенные неудобства, сопровождающиеся насыщенными болями в зоне головы и шеи, общим недомоганием, головокружением, значительным повышением или понижением артериального давления.
Когда питания для межпозвонковых хрящей не хватает, начинает развиваться унковертебральный артроз шейного участка. Естественно, при обращении к доктору вас интересует: можно ли унковертебральный артроз вылечить? Такой недуг необходимо лечить долго и в очень срочном порядке.
Если затягивать с лечением или вообще его проигнорировать, инвалидность такому пациенту обеспечена. Это не пустые слова, а проверенная практика медиков.
Артроз унковертебральный коварен, так как в шейном отделе происходят необратимые разрушительные процессы, влияющие на доступ кровообращения в головной мозг, а также верхние конечности. Поэтому необходимо пройти диагностическое обследование шейного отдела, чтобы убедиться, насколько критична ситуация. Затем уже доктор на основании пройденной диагностики пропишет вам лечение.

Очень важна диагностическая сторона в унковертебральном артрозе шейного отдела позвоночника. Наш организм подвержен различным заболеваниям, им иногда свойственно иметь схожую симптоматику. Поэтому, очень существенно помимо визуального осмотра и записи в амбулаторной карте о том, что, где и как болит, пройти аппаратное обследование для подтверждения симптомов и постановки точного диагноза.
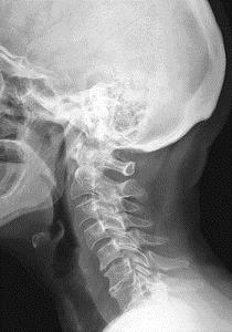
Итак, врач тщательно расспрашивает больного, делает выводы, находит самые болевые точки в зоне шеи, которые являются локализацией патологических мышечных спазмов. Для подтверждения своих выводов доктор направляет вас на рентгеновский снимок, его делают в двух проекциях. Иногда такого снимка бывает недостаточно, врач может направить на МРТ (магнитно-резонансная томография). Специалисту важно для постановки такого диагноза как унковертебральный артроз на снимках увидеть остеофиты (новообразования имеющие схожесть с крючком), также признаки поражения нервной ткани и кровеносных сосудов в зоне шеи. Если такой диагноз подтверждается обследованием, доктор назначает вам индивидуальное лечение.
Ниже распишем возможное лечение, обращаем ваше внимание, что оно является только информацией.
Убедительно советуем, прежде чем начинать самолечение, посетить узкого специалиста. У него получить полную консультацию и рекомендации по исцелению, потому как каждый случай индивидуален.
Разнообразными лекарственными средствами лечение унковертебрального артроза шейного отдела позвоночника производится в острый период для блокировки болевого синдрома. Назначение противовоспалительных препаратов делает только врач, он учитывает индивидуальные особенности организма, самостоятельный подбор не рекомендуется во избежание провоцирования какого-нибудь сопутствующего заболевания. Помимо этого, долго принимать медикаменты нельзя. Одновременно, на этапе пресечения боли, доктором назначаются препараты, которые способны возобновить процесс активного обмена веществ и кровообращения в структуре позвоночника и тканях. Возможно, назначение хондропротекторов, например, Дона, Артра, Терафлекс, Сустафлекс, они способны замедлить процесс дегенерации хрящевой ткани, а также минимизируют сопутствующие симптомы. А для питания суставов необходимо пропить минерально-витаминный комплекс.
Лечение медикаментами имеют свой результат вкупе с мануальной терапией, ЛФК и физиотерапевтическим воздействием.
Когда унковертебральный артроз шейного отдела позвоночника затрагивает вас, лечение начинается с решения главной задачи: обеспечить покой мышцам в проблемных зонах шеи и убрать болевой синдром. Особенно актуально в фазе обострения. В отдельных случаях возможно обязательное ношение воротника Шанца. Это ортопедическое приспособление похожее на своеобразный воротник, закрепив его на шее, он позволяет снять с позвонков и окружающих их мышц нагрузку. Достигается посредством неподвижности. А вот как долго придётся носить такой воротник, определить может только доктор. Как только обострение снято, и пациент лучше стал себя чувствовать, назначается массаж и ЛФК.
При заболевании унковертебральный артроз обязательным считается прохождение физиопроцедур. Применение импульсного статического, разночастотного токов, магнитотерапии, микроволновой терапии, электрофореза положительно влияет на симптомы унковертебрального артроза. В отдельных случаях могут применяться ультразвук, УВЧ.
О действии отдельных физиопроцедур при лечении суставной патологии, читайте в этой статье….
Имеет большой результат использование аппликаторов и баротерапии.
Такие физиопроцедуры способны восстановить кровообращение, помогают ликвидировать отдельные симптомы и даже причины возникшего артроза шейного отдела.
Однако не всегда можно проводить физиотерапевтическое лечение. Есть категория пациентов, которым такое лечение противопоказано. Например, пациенты с диагностированным заболеванием сердца или находящиеся в стадии ремиссии, когда сильная боль не ощущается. Таким пациента показана иглорефлексотерапия.

Массаж — это одна из разновидностей мануальной терапии, которая целебно действует на унковертебральный артроз шейного отдела позвоночника. При помощи его улучшается кровоток, снимаются мышечные спазмы, происходит восстановление функций суставов.
Внимательно подходите к выбору массажиста при этом заболевании, не забывайте, что он должен иметь медицинское образование.
Существуют иные методы, помогающие одолеть унковертебральный артроз шейного отдела. Один из методов является лечебная гимнастика. Организовав правильный процесс лечебной гимнастики, возврат подвижности шейному участку позвоночника гарантирован.
Данные упражнения могут выполняться в любом положении.
Если у вас нет никаких осложнений при артрозе шейного отдела, рекомендуем вам второй комплекс занятий.
В заключение скажем, что выполняя такую лечебную тренировку, эффективность её почувствуете на следующий день.
На полное выздоровление за один день не рассчитывайте, для этого вам потребуются недели, месяцы, а то и несколько лет. Поэтому не бросайте гимнастику, а занимайтесь ею, ежедневно, соединяя с процедурами, которые назначил вам врач, и результат не заставит себя ждать.
По всей вероятности, многие из нас слышали когда-либо от людей пожилого возраста, как сильно они реагируют на перемены погоды и прежде всего по состоянию суставов.
Сегодня американскими врачами были представлены доказательства и аргументы, подтверждающие подобные факты.
Доктор Роберт Болаш из Клиники Кливленда (США), специализирующийся на терапии болей в суставах, высказал в своем интервью точку зрения по данному вопросу: «Перемены погоды на самом деле могут оказывать большое влияние на состояние человека, имеющего хронические боли, особенно, при патологическом состоянии суставов».
Можно предположить, что скептикам подобная взаимосвязь покажется абсурдной, тем не менее, народная мудрость, также как и многочисленные опыты современных исследователей подтверждают такую зависимость.
Доктор Болаш в пояснение своей теории добавляет следующее: «Люди, страдающие от артрита, нередко жалуются на болезненность в области позвоночника и различных групп мышц. Именно они обычно сообщают об ухудшении самочувствия, когда происходят резкие перемены погоды. Нами были получены данные, подтверждающие негативное влияние погоды, способной спровоцировать нейропатические боли, такие, которые могут характеризовать рассеянный склероз или диабетическую нейропатию».
Причины, по которым перемены погоды вызывают боли, до сих пор не были определены экспертами однозначно. В тоже время, ученые выдвигают предположение о том, что ключ к решению проблемы кроется в измерении уровня влажности, т.к. именно его повышение, которое в большинстве случаев происходит одновременно с падением атмосферного давления, и является причиной, провоцирующей недуг.
При снижении давления атмосферы, происходящее при ухудшении погоды, столб окружающего воздуха начинает оказывать меньшее давление на ткани человеческого организма. В результате в тканях усиливается отек, они увеличиваются в размерах.
Происходящее в это время снижение температуры оказывает сковывающий эффект на суставы, мышцы и связки, приводя к усилению болезненных ощущений.
Доктор Болаш, поясняя данную ситуацию, говорит следующее: «При падении атмосферного давления и температуры одновременно, начинает расти влажность воздуха, вследствие чего значительно чаще начинают поступать жалобы от пациентов на обострение артрита. Кроме того специалистами были отмечены стремительные изменения данных показателей».
Исходя из установленных фактов, можно было бы сделать вывод, что людям, страдающим артритом, стоит сменить место жительство на район, характеризующийся наиболее стабильными погодными условиями.
Тем не менее, однозначного ответа на подобные вопросы быть не может. Последние научные исследования показали, что на появление болей при изменениях погоды значительно чаще поступают жалобы от жителей теплого Сан-Диего, нежели от людей, проживающих в городах с повышенной влажностью, таких, как Нэшвилл или Бостон.
Доктор Болаш, комментируя данную ситуацию заявляет: «Хроническая боль может возникнуть независимо от территории проживания. Влажность и давление меняются в любой точке планеты и убежать от них невозможно».
Избежать перемен погоды невозможно, но человек может предпринять усилия для облегчения состояния.
Доктор Болаш рекомендует с этой целью следующие действия:
Доктор Болаш рекомендует внутрисуставные инъекции кортикостероида людям, у которых наблюдаются проблемы лишь с одним суставом, отмечая при этом, что данная рекомендация является строго индивидуальной. Главным же фактором, который поможет сохранить здоровье суставов, он называет постоянное поддержание их подвижности.
Видео: «Почему болят суставы при изменении погоды?»
Проводит комплексную терапию и профилактику заболевания позвоночника, проводит расшифровку рентгенографии и МРТ снимков. Также проводит реабилитацию и восстановления физического состояния после травм.Другие авторы
Комментарии для сайта Cackle
Увеличивается ли ваша боль в суставах, когда погода становится холодной или бурной? Многие люди с артритом утверждают, что существует связь между погодой и артритом: они считают, что знают, когда погода изменится, потому что боль или уровень жесткости в суставах ухудшаются. Спросите у любого ревматолога, и они скажут вам, что слышат жалобы, связанные с погодой, от многих пациентов. В этой статье рассмотрим влияние погоды на артрит.
Хотя исследователи не уверены точно, почему боль при артрите может увеличиться с погодными изменениями, они подозревают, что определенные условия в атмосфере, такие как падение барометрического давления, могут увеличить отек в суставной капсуле, приводящей к боли. Причины отекших суставов пальцев рук.
Барометрическое давление относится к массе воздуха вокруг нас. В хорошую погоду барометрическое давление высокое. Это давление подталкивает организм снаружи, помогая сохранить ткани, включая ткани, которые окружают наши суставы, от расширения. В «плохую» или бушующую погоду барометрическое давление падает, так что давление на организм меньше. Это позволяет ткани вокруг суставов расширяться, оказывая давление на суставы и увеличивая боль.
Исследования по влиянию погоды на артрит противоречиво. Одно из исследований Университета Тафтса показало, что при каждом снижении температуры на 10 градусов больные артритом усиливаются у участников исследования. Он также показал, что низкие барометрические давления, низкие температуры и дождь могут увеличить боль. Исследования трупов показали, что барометрическое давление может влиять на давление в суставах. В одном исследовании трупа низкое атмосферное давление сбросило мяч тазобедренного сустава с пути более чем на одну треть.
Однако другие исследования показали, что независимо от того, где живут люди, их тела, похоже, создают новое равновесие с климатом, в котором они живут. Одно исследование, в котором изучалось хроническое болевое заболевание в теплых и холодных районах обнаружили, что две трети считают, что погода ухудшила их боль. Тем не менее воспринимаемый эффект погоды от боли не был связан с региональным климатом. Таким образом, это исследование не подтвердило теорию о том, что боль ухудшается, если жить в более холодном климате. Другими словами, переезд в теплый климат, вероятно, не будет иметь большого значения в долгосрочной перспективе. И есть другие исследования, в которых люди говорят, что нет никакой разницы в их боли из-за влияние погоды на артрит. Что такое полиартрит и как его лечить.
Независимо от того, что показывают исследования, ваша боль уникальна для вас. Если вы заметили увеличение боли в суставах или жесткость во время определенных погодных условий, есть вещи, которые вы можете сделать, чтобы найти облегчение. Ваш врач может увеличить дозировку вашего обезболивающего средства, но вы также можете попробовать одно из следующих:
Разогрейте — нанесение горячих компрессов на пораженные суставы может облегчить мышцы и облегчить боль в суставах. Держите все свое тело теплым, одеваясь теплее, подогревайте автомобиль в холодные дни, прежде чем войти или попробуйте использовать электрическое одеяло ночью.
Уменьшить отек — если вы заметили суставную опухоль, попробуйте компрессионные продукты на болезненных участках, таких как компрессионный коленный рукав или спандексные перчатки.
Упражнения могут помочь облегчить боль в суставах, особенно если вы тренируетесь, прежде чем выходите на улицу. Поговорите со своим врачом или физиотерапевтом о конкретных упражнениях, которые помогут вам справиться с болью в суставах и жесткостью во время погодных изменений. Преимущества ходьбы.
Де-стресс и улучшение настроения. Депрессия и тревога распространены у людей с артритом, поэтому крайне важно найти способы улучшить свое настроение и справиться со стрессом. Они могут включать в себя все: от групп поддержки или психотерапии до упражнений и медитации.
Недостаток сна может ухудшить боль артрита и ваше настроение, независимо от погоды. Если вы уже ощущаете увеличение боли от погодных условий, короткое изменение вашего сна еще больше ухудшит ситуацию.
Помните, что погода не может на самом деле ухудшить артрит. Вы можете почувствовать боль, когда она холодная или бурная, но эти погодные условия не могут нанести ущерб суставам или ухудшить вашу болезнь. Кроме того, нет никаких доказательств того, что проживание в определенном климате может предотвратить или вызвать артрит.
Это только временные исследования показывают, что люди приспосабливаются к своей среде. Например, если вы переместитесь в место с большим количеством дождя, ваше тело будет медленно приспосабливаться к барометрическому давлению. Он делает это, перемещая жидкость из сустава в циркуляцию тела. Это также помогает помнить, что штормы действительно проходят. Лечение дегенеративного артрита.
Все с артритом разные. Повсюду некоторые люди не испытывают влияние погоды на артрит, в то время как некоторые испытывают значительное увеличение боли. К сожалению, в науке пока нет много ответов, и невозможно предсказать, какие изменения погоды повлияют на людей. Если вы заметили, что ваши симптомы ухудшаются при определенных типах погоды, поговорите со своим врачом, чтобы найти план лечения, который работает на вас.
Глава Института лечения суставов: «Вы будете поражены, насколько просто можно вылечить суставы принимая каждый день.
Полностью избавиться от этого тяжелого недуга невозможно, но это не значит, что лечить ревматоидный артрит нельзя и не надо.
Многие годы пытаетесь вылечить СУСТАВЫ?
Глава Института лечения суставов: «Вы будете поражены, насколько просто можно вылечить суставы принимая каждый день.
Артралгия относится к одному из наиболее часто встречающихся заболеваний суставов у человека.
Также артралгия слабо выражена, если наблюдается дистрофическая форма заболевания, в данном случае речь об артрозе.
Далее можно внести еще несколько разграничений по видам заболевания.
Касаются они причины возникновения боли в области суставов, здесь можно выделить несколько определенных групп:
Однако мучительная боль может продолжаться на протяжении нескольких суток и такое состояние крайне тяжело переноситься.
Сразу уточним, что все симптомы заболевания могут быть скоротечными и хроническими, причем приступы боли встречаются следующие:
Лечение при артралгии всегда направлено на выявление и избавление от первопричины.
Лечение предполагает использование обезболивающих и анальгетиков, противовоспалительных препаратов. К ним можно отнести:
В данном случае речь идет о том, что лечение направлена на исключение симптомов.
Помимо этого, лечение использует физиотерапию и магнито- и лазеротерапию. Хорошо зарекомендовал себя и прибор Алмаг для суставов.
Используются согревающие мази и компрессы:
Такой настой будет оказывать сильное противовоспалительное воздействие, рецепт здесь следующий:
Примерная схема гимнастики и физических упражнений может состоять из:
Лечение остеохондроза Подробнее >>

Многие годы безуспешно боретесь с БОЛЯМИ в СУСТАВАХ?
Глава Института: «Вы будете поражены, насколько просто можно вылечить суставы принимая каждый день средство за 147 рублей.

В зависимости от того, где локализируется артроз (полиостеоартроз и остеоартроз), заболевание делится на две группы:
Артроз, остеоартроз и полиостеоартроз, как правило, возникают, по следующим причинам:
В одной из своих работ А. Мясников сделал акцент на то, что у артроза есть три следующие стадии развития:

После консультации со специалистами также можно лечиться народными средствами.
Симптоматика артрита 1 степени:
Выделяют 4 степени артрита:
В терапии артрита используются следующие группы препаратов:
В период обострения и ремиссии возможно назначение следующих видов физиолечения:
Только в период ремиссии применяются:

В лечении артрита важная роль отводится правильному питанию.Рекомендовано придерживаться следующих правил:
Лечение артроза направлено на достижение нескольких целей:
Лечение артроза подразделяется на такие направления:
К препаратам, которые применяются для лечения артроза, относят следующие группы:
Говоря о дополнительных способах лечения, нужно отметить как наиболее эффективные следующие:
Вот несколько рецептов лечения артроза народными средствами:
Применяя разные способы лечения в комплексе, можно добиться хороших результатов в лечении артроза.

Самые полные ответы на вопросы по теме: «какой климат подходит для больных суставов?».
Так что если вы раздумываете, куда поехать в отпуск, отправляйтесь на свидание с солнцем — не прогадаете.
Cloudy climate responsible for heart disease
Vitamin D and Cholesterol
5 Reasons Warm Weather is Good For Your Health
Life, Death, and Climate
Cold environment makes cancer grow and spread faster
| Как погода влияет на человека |
льдом на больное место .
Но значит ли это, что погода влияет на суставы человека? Если да, то каким образом?
Влияние погоды на здоровье суставов человека далеко неоднозначно
Одновременно, другой скажет, что его “косточки” намного хуже чувствуют сегодня, чем после дождя на прошлой неделе!
Так каково же влияние погоды на человека и его больные суставы?


Многие годы пытаетесь вылечить СУСТАВЫ?
Глава Института лечения суставов: «Вы будете поражены, насколько просто можно вылечить суставы принимая каждый день.

Все многообразие патологий, поражающих опорно-двигательный аппарат, условно можно разделить на две группы:

Именно поэтому НПВС первого поколения при артрите врачи стараются назначать в низких дозах и короткими курсами.
Подбирать средство из группы НПВП, схему и продолжительность его приема должен ваш лечащий врач.




В зависимости от того, где локализируется артроз (полиостеоартроз и остеоартроз), заболевание делится на две группы:
Артроз, остеоартроз и полиостеоартроз, как правило, возникают, по следующим причинам:
В одной из своих работ А. Мясников сделал акцент на то, что у артроза есть три следующие стадии развития:

После консультации со специалистами также можно лечиться народными средствами.

Ниже распишем возможное лечение, обращаем ваше внимание, что оно является только информацией.
Лечение медикаментами имеют свой результат вкупе с мануальной терапией, ЛФК и физиотерапевтическим воздействием.
О действии отдельных физиопроцедур при лечении суставной патологии, читайте в этой статье….
Имеет большой результат использование аппликаторов и баротерапии.
Внимательно подходите к выбору массажиста при этом заболевании, не забывайте, что он должен иметь медицинское образование.
Данные упражнения могут выполняться в любом положении.
Если у вас нет никаких осложнений при артрозе шейного отдела, рекомендуем вам второй комплекс занятий.
В заключение скажем, что выполняя такую лечебную тренировку, эффективность её почувствуете на следующий день.